Breaking
Cyst Thyroglossal Duct   •   Art   •   Stay informed with Art Network

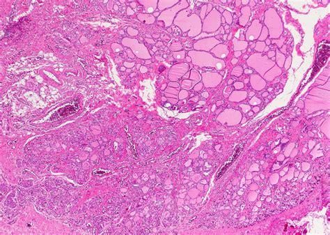
Cyst Thyroglossal Duct

Cyst Thyroglossal Duct

Cysts are a common medical condition that can occur in various parts of the body, including the neck. One specific type of cyst that can develop in the neck region is a Cyst Thyroglossal Duct. This type of cyst is a congenital anomaly that arises from the remnants of the thyroglossal duct, a structure that forms during embryonic development and typically disappears before birth. Understanding the causes, symptoms, diagnosis, and treatment options for a Cyst Thyroglossal Duct is crucial for anyone who may be affected by this condition.

Understanding the Thyroglossal Duct

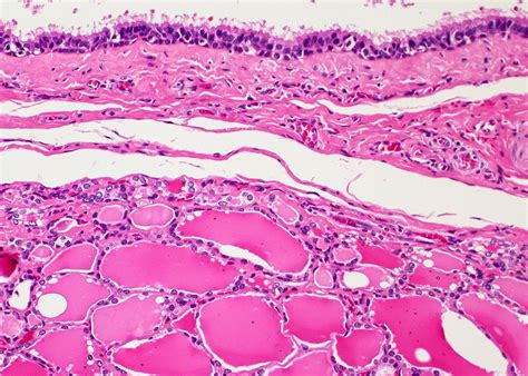
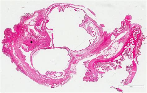
The thyroglossal duct is a transient structure that forms during the development of the thyroid gland. It connects the base of the tongue to the thyroid gland in the neck. Normally, this duct disappears by the time of birth. However, if remnants of the duct persist, they can give rise to a Cyst Thyroglossal Duct. These cysts are typically found in the midline of the neck, just below the hyoid bone.

Causes of Cyst Thyroglossal Duct

The exact cause of a Cyst Thyroglossal Duct is not fully understood, but it is believed to be related to the incomplete obliteration of the thyroglossal duct during embryonic development. This can lead to the formation of a cyst, which is a fluid-filled sac. The cyst can vary in size and may become infected or inflamed, leading to discomfort and other symptoms.

Symptoms of Cyst Thyroglossal Duct

The symptoms of a Cyst Thyroglossal Duct can vary depending on the size and location of the cyst. Common symptoms include:

  • A lump or swelling in the midline of the neck, just below the hyoid bone.
  • Pain or discomfort in the neck area, which may worsen with infection.
  • Difficulty swallowing or breathing, if the cyst is large enough to compress nearby structures.
  • Fever and redness, if the cyst becomes infected.

In some cases, a Cyst Thyroglossal Duct may be asymptomatic and discovered incidentally during a routine medical examination.

Diagnosis of Cyst Thyroglossal Duct

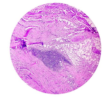
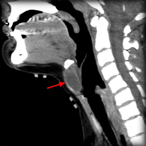
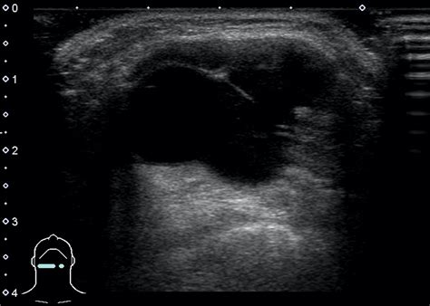
The diagnosis of a Cyst Thyroglossal Duct typically involves a combination of physical examination and imaging studies. The healthcare provider will perform a thorough physical examination to assess the size, location, and characteristics of the cyst. Imaging studies, such as ultrasound, computed tomography (CT) scan, or magnetic resonance imaging (MRI), may be ordered to confirm the diagnosis and rule out other potential causes of the neck mass.

Treatment Options for Cyst Thyroglossal Duct

The treatment of a Cyst Thyroglossal Duct depends on the size, symptoms, and individual preferences of the patient. Common treatment options include:

  • Observation: Small, asymptomatic cysts may be monitored with regular follow-up visits to ensure they do not grow or cause symptoms.
  • Antibiotic therapy: If the cyst becomes infected, antibiotics may be prescribed to treat the infection.
  • Surgical excision: The most definitive treatment for a Cyst Thyroglossal Duct is surgical excision, also known as the Sistrunk procedure. This involves removing the cyst along with a portion of the hyoid bone and the central portion of the tongue base to prevent recurrence.

In some cases, a fine-needle aspiration (FNA) biopsy may be performed to confirm the diagnosis and rule out other potential causes of the neck mass.

Surgical Excision of Cyst Thyroglossal Duct

The Sistrunk procedure is the gold standard for the surgical excision of a Cyst Thyroglossal Duct. This procedure involves the following steps:

  • General anesthesia is administered to ensure the patient is comfortable and pain-free during the procedure.
  • A horizontal incision is made in the skin overlying the cyst.
  • The cyst is carefully dissected from the surrounding tissues.
  • A portion of the hyoid bone and the central portion of the tongue base are removed to ensure complete excision of the cyst and prevent recurrence.
  • The incision is closed with sutures, and a dressing is applied to the wound.

After the procedure, the patient will be monitored for any signs of complications, such as bleeding, infection, or damage to nearby structures. Most patients can go home the same day or the next day, depending on their overall health and the extent of the surgery.

📝 Note: It is important to follow the postoperative instructions provided by the healthcare provider to ensure proper healing and minimize the risk of complications.

Postoperative Care and Recovery

After surgical excision of a Cyst Thyroglossal Duct, it is important to follow the postoperative care instructions provided by the healthcare provider. This may include:

  • Keeping the incision site clean and dry to prevent infection.
  • Avoiding strenuous activities or heavy lifting for a few weeks to allow the incision to heal properly.
  • Taking pain medication as prescribed to manage any discomfort.
  • Attending follow-up appointments to monitor the healing process and ensure there are no complications.

Most patients can return to their normal activities within a few weeks, although it may take several months for the incision to heal completely.

Potential Complications

While the Sistrunk procedure is generally safe and effective, there are potential complications that can occur. These may include:

  • Bleeding or hematoma formation at the surgical site.
  • Infection of the incision site.
  • Damage to nearby structures, such as the nerves or blood vessels.
  • Recurrence of the cyst, although this is rare with complete excision.

It is important to discuss the potential risks and benefits of the procedure with the healthcare provider before undergoing surgery.

Preventing Recurrence

To prevent the recurrence of a Cyst Thyroglossal Duct, it is important to ensure complete excision of the cyst during surgery. This includes removing the cyst along with a portion of the hyoid bone and the central portion of the tongue base. Regular follow-up appointments with the healthcare provider can help monitor for any signs of recurrence and ensure proper healing.

When to Seek Medical Attention

If you notice any of the following symptoms, it is important to seek medical attention promptly:

  • A lump or swelling in the midline of the neck.
  • Pain or discomfort in the neck area.
  • Difficulty swallowing or breathing.
  • Fever and redness, which may indicate an infection.

Early diagnosis and treatment of a Cyst Thyroglossal Duct can help prevent complications and ensure the best possible outcome.

Cysts are a common medical condition that can occur in various parts of the body, including the neck. One specific type of cyst that can develop in the neck region is a Cyst Thyroglossal Duct. This type of cyst is a congenital anomaly that arises from the remnants of the thyroglossal duct, a structure that forms during embryonic development and typically disappears before birth. Understanding the causes, symptoms, diagnosis, and treatment options for a Cyst Thyroglossal Duct is crucial for anyone who may be affected by this condition.

Cysts are a common medical condition that can occur in various parts of the body, including the neck. One specific type of cyst that can develop in the neck region is a Cyst Thyroglossal Duct. This type of cyst is a congenital anomaly that arises from the remnants of the thyroglossal duct, a structure that forms during embryonic development and typically disappears before birth. Understanding the causes, symptoms, diagnosis, and treatment options for a Cyst Thyroglossal Duct is crucial for anyone who may be affected by this condition.

Cysts are a common medical condition that can occur in various parts of the body, including the neck. One specific type of cyst that can develop in the neck region is a Cyst Thyroglossal Duct. This type of cyst is a congenital anomaly that arises from the remnants of the thyroglossal duct, a structure that forms during embryonic development and typically disappears before birth. Understanding the causes, symptoms, diagnosis, and treatment options for a Cyst Thyroglossal Duct is crucial for anyone who may be affected by this condition.

Cysts are a common medical condition that can occur in various parts of the body, including the neck. One specific type of cyst that can develop in the neck region is a Cyst Thyroglossal Duct. This type of cyst is a congenital anomaly that arises from the remnants of the thyroglossal duct, a structure that forms during embryonic development and typically disappears before birth. Understanding the causes, symptoms, diagnosis, and treatment options for a Cyst Thyroglossal Duct is crucial for anyone who may be affected by this condition.

Cysts are a common medical condition that can occur in various parts of the body, including the neck. One specific type of cyst that can develop in the neck region is a Cyst Thyroglossal Duct. This type of cyst is a congenital anomaly that arises from the remnants of the thyroglossal duct, a structure that forms during embryonic development and typically disappears before birth. Understanding the causes, symptoms, diagnosis, and treatment options for a Cyst Thyroglossal Duct is crucial for anyone who may be affected by this condition.

Cysts are a common medical condition that can occur in various parts of the body, including the neck. One specific type of cyst that can develop in the neck region is a Cyst Thyroglossal Duct. This type of cyst is a congenital anomaly that arises from the remnants of the thyroglossal duct, a structure that forms during embryonic development and typically disappears before birth. Understanding the causes, symptoms, diagnosis, and treatment options for a Cyst Thyroglossal Duct is crucial for anyone who may be affected by this condition.

Cysts are a common medical condition that can occur in various parts of the body, including the neck. One specific type of cyst that can develop in the neck region is a Cyst Thyroglossal Duct. This type of cyst is a congenital anomaly that arises from the remnants of the thyroglossal duct, a structure that forms during embryonic development and typically disappears before birth. Understanding the causes, symptoms, diagnosis, and treatment options for a Cyst Thyroglossal Duct is crucial for anyone who may be affected by this condition.

Cysts are a common medical condition that can occur in various parts of the body, including the neck. One specific type of cyst that can develop in the neck region is a Cyst Thyroglossal Duct. This type of cyst is a congenital anomaly that arises from the remnants of the thyroglossal duct, a structure that forms during embryonic development and typically disappears before birth. Understanding the causes, symptoms, diagnosis, and treatment options for a Cyst Thyroglossal Duct is crucial for anyone who may be affected by this condition.

Cysts are a common medical condition that can occur in various parts of the body, including the neck. One specific type of cyst that can develop in the neck region is a Cyst Thyroglossal Duct. This type of cyst is a congenital anomaly that arises from the remnants of the thyroglossal duct, a structure that forms during embryonic development and typically disappears before birth. Understanding the causes, symptoms, diagnosis, and treatment options for a Cyst Thyroglossal Duct is crucial for anyone who may be affected by this condition.

Cysts are a common medical condition that can occur in various parts of the body, including the neck. One specific type of cyst that can develop in the neck region is a Cyst Thyroglossal Duct. This type of cyst is a congenital anomaly that arises from the remnants of the thyroglossal duct, a structure that forms during embryonic development and typically disappears before birth. Understanding the causes, symptoms, diagnosis, and treatment options for a Cyst Thyroglossal Duct is crucial for anyone who may be affected by this condition.

Cysts are a common medical condition that can occur in various parts of the body, including the neck. One specific type of cyst that can develop in the neck region is a Cyst Thyroglossal Duct. This type of cyst is a congenital anomaly that arises from the remnants of the thyroglossal duct, a structure that forms during embryonic development and typically disappears before birth. Understanding the causes, symptoms, diagnosis, and treatment options for a Cyst Thyroglossal Duct is crucial for anyone who may be affected by this condition.

Cysts are a common medical condition that can occur in various parts of the body, including the neck. One specific type of cyst that can develop in the neck region is a Cyst Thyroglossal Duct. This type of cyst is a congenital anomaly that arises from the remnants of the thyroglossal duct, a structure that forms during embryonic development and typically disappears before birth. Understanding the causes, symptoms, diagnosis, and treatment options for a Cyst Thyroglossal Duct is crucial for anyone who may be affected by this condition.

Cysts are a common medical condition that can occur in various parts of the body, including the neck. One specific type of cyst that can develop in the neck region is a Cyst Thyroglossal Duct. This type of cyst is a congenital anomaly that arises from the remnants of the thyroglossal duct, a structure that forms during embryonic development and typically disappears before birth. Understanding the causes, symptoms, diagnosis, and treatment options for a Cyst Thyroglossal Duct is crucial for anyone who may be affected by this condition.

Cysts are a common medical condition that can occur in various parts of the body, including the neck. One specific type of cyst that can develop in the neck region is a Cyst Thyroglossal Duct. This type of cyst is a congenital anomaly that arises from the remnants of the thyroglossal duct, a structure that forms during embryonic development and typically disappears before birth. Understanding the causes, symptoms, diagnosis, and treatment options for a Cyst Thyroglossal Duct is crucial for anyone who may be affected by this condition.

Cysts are a common medical condition that can occur in various parts of the body, including the neck. One specific type of cyst that can develop in the neck region is a Cyst Thyroglossal Duct. This type of cyst is a congenital anomaly that arises from the remnants of the thyroglossal duct, a structure that forms during embryonic development and typically disappears before birth. Understanding the causes, symptoms, diagnosis, and treatment options for a Cyst Thyroglossal Duct is crucial for anyone who may be affected by this condition.

Cysts are a common medical condition that can occur in various parts of the body, including the neck. One specific type of cyst that can develop in the neck region is a Cyst Thyroglossal Duct. This type of cyst is a congenital anomaly that arises from the remnants of the thyroglossal duct, a structure that forms during embryonic development and typically disappears before birth. Understanding the causes, symptoms, diagnosis, and treatment options for a Cyst Thyroglossal Duct is crucial for anyone who may be affected by this condition.

Cysts are a common medical condition that can occur in various parts of the body, including the neck. One specific type of cyst that can develop in the neck region is a Cyst Thyroglossal Duct. This type of cyst is a congenital anomaly that arises from the remnants of the thyroglossal duct, a structure that forms during embryonic development and typically disappears before birth. Understanding the causes, symptoms, diagnosis, and treatment options for a Cyst Thyroglossal Duct is crucial for anyone who may be affected by this condition.

Cysts are a common medical condition that can occur in various parts of the body, including the neck. One specific type of cyst that can develop in the neck region is a Cyst Thyroglossal Duct. This type of cyst is a congenital anomaly that arises from the remnants of the thyroglossal duct, a structure that forms during embryonic development and typically disappears before birth. Understanding the causes, symptoms, diagnosis, and treatment options for a Cyst Thyroglossal Duct is crucial for anyone who may be affected by this condition.

Cysts are a common medical condition that can occur in various parts of the body, including the neck. One specific type of cyst that can develop in the neck region is a Cyst Thyroglossal Duct. This type of cyst is a congenital anomaly that arises from the remnants of the thyroglossal duct, a structure that forms during embryonic development and typically disappears before birth. Understanding the causes, symptoms, diagnosis, and treatment options for a Cyst Thyroglossal Duct is crucial for anyone who may be affected by this condition.

Cysts are a common medical condition that can occur in various parts of the body, including the neck. One specific type of cyst that can develop in the neck region is a Cyst Thyroglossal Duct. This type of cyst is a congenital anomaly that arises from the remnants of the thyroglossal duct, a structure that forms during embryonic development and typically disappears before birth. Understanding the causes, symptoms, diagnosis, and treatment options for a Cyst Thyroglossal Duct is crucial for anyone who may be affected by this condition.

Cysts are a common medical condition that can occur in various parts of the body, including the neck. One specific type of cyst that can develop in the neck region is a Cyst Thyroglossal Duct. This type of cyst is a congenital anomaly that arises from the remnants of the thyroglossal duct, a structure that forms during embryonic development and typically disappears before birth. Understanding the causes, symptoms, diagnosis, and treatment options for a Cyst Thyroglossal Duct is crucial for anyone who may be affected by this condition.

Cysts are a common medical condition that can occur in various parts of the body, including the neck. One specific type of cyst that can develop in the neck region is a Cyst Thyroglossal Duct. This type of cyst is a congenital anomaly that arises from the remnants of the thyroglossal duct, a structure that forms during embryonic development and typically disappears before birth. Understanding the causes, symptoms, diagnosis, and treatment options for a Cyst Thyroglossal Duct is crucial for anyone who may be affected by this condition.

Cysts are a common medical condition that can occur in various parts of the body, including the neck. One specific type of cyst that can develop in the neck region is a Cyst Thyroglossal Duct. This type of cyst is a congenital anomaly that arises from the remnants of the thyroglossal duct

Related Terms:

  • thyroglossal cyst adult
  • thyroglossal duct cyst mayo clinic
  • management of thyroglossal cyst
  • thyroglossal cyst moves with swallowing
  • thyroglossal duct cyst movement
  • management of thyroglossal duct cyst